Periodontitt – Hva er periodontitt?
Periodontitt er en kronisk betennelsessykdom som rammer støttevevet rundt tennene – tannkjøttet, fibre og kjevebein. Ubehandlet kan sykdommen føre til at tennene løsner og går tapt. Den utvikles som regel fra en forutgående tannkjøttsbetennelse (gingivitt). Gingivitt er en reversibel tilstand, mens periodontitt fører til irreversibel skade på tannens festeapparat. [tkmidt.no], [sml.snl.no]
Sykdommen utvikler seg ofte langsomt og uten tydelige symptomer i starten, og mange oppdager den først når skadene har blitt mer omfattende. [sml.snl.no], [nhi.no]. Det er derfor viktig å gå jevnlig til en undersøkelse/tannhelsesjekk for å få fjernet tannstein og oppdage sykdom på et tidlig stadium. Hvis tannkjøttet holdes friskt og plakk/tannstein fjernes regelmessig vil en kunne unngå utvikling av periodontitt.

Hvordan oppstår periodontitt?
Årsaken til periodontitt er bakteriebelegg (plakk) og tannstein som blir liggende langs tannkjøttskanten og ned i tannkjøttslommene. Når bakteriene blir liggende og får utvikle seg over tid, skaper de en betennelsesreaksjon som bryter ned støttevevet rundt tennene. [tkmidt.no], [sml.snl.no]
Flere faktorer kan øke risikoen for sykdommen, blant annet:
- utilstrekkelig tannhygiene
- røyking
- genetiske disposisjoner
- diabetes og enkelte andre sykdommer
- redusert spyttproduksjon eller bruk av medisiner som påvirker tannkjøttet
[tannlegernorge.no], [nhi.no], [oralb.no]

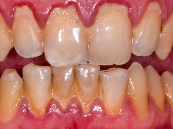
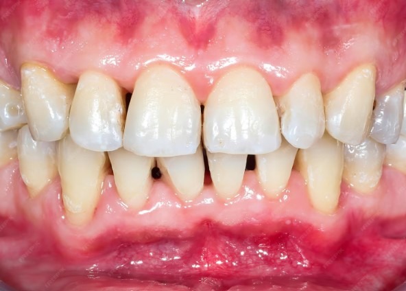
Vanlige symptomer
Tidlige tegn kan være milde og ofte smertefrie. Det er derfor viktig å kjenne symptomene:
Tidlige symptomer (gingivitt):
- Rødt, hovent og lettblødende tannkjøtt
- Dårlig ånde
[nhi.no]
Symptomer ved utviklet periodontitt:
- Tannkjøttet trekker seg tilbake – tennene kan se lengre ut
- Løse tenner eller tenner som flytter på seg
- Vedvarende dårlig ånde eller vond smak i munnen
- Puss eller væske fra tannkjøttet
- Smerte ved tygging
[tkmidt.no], [sml.snl.no]

Hvordan stilles diagnosen?
Tannlege eller tannpleier undersøker munnhulen og bruker spesialutstyr for å måle dybden på tannkjøttslommene (spalten mellom tannkjøttkanten og tannen. Hos en frisk munn er disse lommene grunne, vanligvis under 3-4 mm). Røntgen brukes for å vurdere benstøtten rundt tennene [nhi.no]
Tidlig diagnostikk gir bedre prognose og enklere behandling. [odont.uio.no]
Behandling av periodontitt
Behandlingens mål er å stoppe sykdomsutviklingen ved å fjerne årsaken til betennelsen – bakterier og tannstein.
1. Ikke-kirurgisk behandling
Dette er førstevalget ved mild til moderat periodontitt:
- Grundig systematisk rens over og under tannkjøttskanten. Dette gjøres oftest av en tannpleier, i flere (2-4) seksjoner.
- Fjerning av plakk og tannstein
- Opplæring og veiledning i god munnhygiene, hvor man også gir opplæring i bruk av hjelpemidler som interdentalbørster/mellomromsbørster og finner frem til riktig størrelse på mellomromsbørster som er egnet for pasient
- Gjennomføre gode daglige rutiner for renhold av tannhelsen:
- Daglig renhold mellom tennene, inkl. bruk av riktige interdentalbørster.
- Elektrisk børste eller evt. vanlig tannbørste med god pusseteknikk
- Grundig puss, med riktig fluorkonsentrasjon, 2-3 ganger daglig, minst 2 min. hver gang
Årsaken til sykdommen må behandles hos en tannlege/tannpleier. Grundig rens av tannlege/tannpleier for å fjerne plakk og bakteriebelegg under tannkjøttskanten, og deretter gode daglige rutiner for stell av tannhelsen, er avgjørende for å stanse og reversere sykdommen.
2. Kirurgisk behandling
Ved dype lommer eller større beintap kan det være nødvendig med:
- Kirurgisk åpning av tannkjøttet for å rense ekstra dypt, utføres av vår periospesialist
- Retraksjonskirurgi: Brukes ved tilbaketrukket tannkjøtt (gingival retraksjon) for å tette igjen lommer.
- Regenerativ terapi: Hvis det er betydelig bentap, kan teknikker brukes for å bygge opp igjen tapt kjeveben og støttevev.
- Jevning av rotoverflater [tkmidt.no]
Henvisning til periospesialist
Ved mistanke om alvorlig periodontitt, henvises pasienter til en periospesialist for diagnose, behandlingsplanlegging og evt. utførelse av kirurgisk behandling og kontroll.
Vår egen periospesialist Jan Gudmundson mottar henvisninger fra våre egne tannleger og tannpleiere og fra eksterne tannklinikker for følgende områder:
- Perioundersøkelse og behandlingsplanlegging for periobehandling og videre oppfølging
- Kirurgisk behandling av periodontitt
- Sinusløft og implantatkirurgi, inkl. hard- og bløtvevsforstørrelse
- Dentoalveolær kirurgi (inkl. operative ekstraksjoner, apikal kirurgi, periodontal kirurgi)
- Evaluering og behandling av peri-implantitt (inkl. peri-implantkirurgi og eksplantasjon)
- Slimhinneundersøkelser
- Ben- og vevsbevarende kirurgiske trekkinger / ekstraksjoner før implantatkirurgi

Oppfølging
Periodontitt krever livslang oppfølging. Regelmessige kontroller hos tannlege eller tannpleier og profesjonell rens på en tannklinikk er nødvendig for å holde sykdommen i sjakk. [spesialist…nikkene.no]
Refusjon / støtte til tannbehandling av periodontitt
Folketrygdloven kapittel 6 gir rett til stønad ved «Behandling av marginal periodontitt og periimplantitt» og «Rehabilitering ved tanntap som følge av grav marginal periodontitt». Egenandel for disse behandlingene inngår i «frikort for helsetjenester».
Dersom du får påvist periodontitt av tannlege eller spesialist, vil selve behandlingen (grundig systematisk rens) av alvorlig tannkjøttsykdom (periodontitt) inngå i ordningen for frikort for helsetjenester, og du betaler kun en egenandel for behandlingen, mens HELFO dekker resten av utgiftene. Etter at frikortgrensen er nådd, dekkes større deler av behandlingen (som rensing av tannkjøttlommer og kirurgisk behandling) av staten, og egenandelen vil bli lavere.
Det er viktig å være klar over at stønaden fra HELFO gjelder selve behandlingen av tannkjøttsykdommer (ikke-kirurgisk og kirurgisk behandling av periodontitt/periimplantitt) hos tannlege eller tannpleier, og ikke jevnlige vedlikeholdsbehandlinger etter oppnådd stabile forhold. Pasienter med påvist periodontitt vil trenge vedlikeholdsbehandling livet ut, for å holde sykdommen under stabile forhold.
Våre behandlere har direkteoppgjør med HELFO, slik at stønaden man får fra HELFO trekkes automatisk fra beløpet ved betaling av behandlingen. HELFO-trekket skjer automatisk og pasienten trenger da bare å betale egenandel.
Hør med tannpleieren eller tannlegen din dersom du har noen spørsmål. De vil påse at du får de rettigheter du har krav på ifm HELFO.
Kan periodontitt kureres?
Skadene som allerede har oppstått – særlig tap av bein – kan ikke reverseres. Men sykdommen kan stoppes og stabiliseres med riktig behandling og egeninnsats. [tkmidt.no]
Hvordan forebygge periodontitt?
- Puss tennene grundig min. 2 min morgen og kveld med riktig pusseteknikk og fluorkonsentrasjon
- Rengjør mellom tennene daglig (tanntråd og/eller mellomromsbørster)
- Unngå røyking
- Gå til regelmessige tannlegekontroller
[tkmidt.no], [nhi.no]
Gode daglige rutiner for munnhygiene er den viktigste faktoren for å forebygge både gingivitt og periodontitt. [tkmidt.no]
Oppsummering
Periodontitt er en vanlig, men alvorlig tannsykdom som kan føre til tanntap dersom den ikke behandles. Tidlige symptomer er ofte milde, og derfor er jevnlige tannlegekontroller helt avgjørende. Med profesjonell behandling og gode rutiner hjemme kan sykdommen holdes under kontroll og tannhelsen bevares.
